Maria Gugging

Beiträge zum Thema Maria Gugging

Foto: Schmatz
40

Forschung & Wissenschaft in Klosterneuburg
Open Campus am ISTA

Am Sonntag verwandelte sich der Campus des Institute of Science and Technology Austria (ISTA) in Klosterneuburg in eine lebendige Bühne der Wissenschaft und Entdeckung. MARIA GUGGING. Vizebürgermeisterin Maresi Eder, Ortsvorsteherin Gabi Pöll und Hunderte neugierige Besucherinnen und Besucher – von den Kleinsten bis zu den Ältesten – genossen den diesjährigen ISTA Open Campus 2025. Mit einem vielfältigen Programm, inklusive praxisnahen Experimenten und spannenden Shows, wurde Wissenschaft für...

Im Jahr 2023 gab es erstmals einen Wechsel an der Spitze des ISTA: Gründungspräsident und Computerwissenschafter Thomas Henzinger (links) übergab an den renommierte österreichische Molekularbiologen Martin Hetzer.  | Foto: Peter Rigaud/ISTA
3

Arbeitsplätze
Jobs am ISTA Klosterneuburg werden auf 2.000 wachsen

Das Institute of Science an Technology Austria (ISTA) in Klosterneuburg versteht sich nicht nur als ein Zentrum der internationalen Spitzenforschung. Es schafft auch immer mehr Arbeitsplätze in der Babenbergerstadt. NÖ/KLOSTERNEUBURG. Sind zurzeit 87 Forschungsgruppen mit rund 1.200 Mitarbeiterinnen und Mitarbeitern aus 80 verschiedenen Ländern am ISTA tätig, "wollen wir bis zum Jahr 2036 auf 150 Forschungsgruppen kommen", kündigt Präsident Martin Hetzer an. Die Zahl der Angestellten wird dann...

Der Mathematiker Matthew Kwan vom Institute of Science and Technology Austria (ISTA) erhält den diesjährigen Förderpreis der Österreichischen Mathematischen Gesellschaft (ÖMG). | Foto: ISTA
2

Tag der Mathematik
In Maria Gugging forscht ein Mathegenie aus Australien

Matthew Kawn erhielt anlässlich des heurigen Tag des Mathematik, dem 26. September, den Förderpreis der Österreichische Mathematische Gesellschaft (ÖMG). Der 32-jährige Assistenzprofessor forscht am Institute of Science and Technology Austria (ISTA). MARIA GUGGING. Die Österreichische Mathematische Gesellschaft (ÖMG) verleiht im Jahr ihres 120-jährigen Bestehens ihren Förderpreis an Matthew Kwan. Der 32-jährige Assistenzprofessor am Institute of Science and Technology Austria (ISTA) erforscht...

Junge Talente forschen am ISTA Ende August gemeinsam mit Profis. | Foto: ISTA/Stephanie Kneissl
3

ISTA
Bei der Vifzack Academy können Jugendliche mit Profis forschen

Der Forschungsdrang von Kindern und Jugendlichen ist besonders groß. 75 begabte Schülerinnen und Schüler können zwischen 25. und 30. August gemeinsam mit Forschenden der ISTA in die Welt der Wissenschaft eintauchen. Eine Premiere. MARIA GUGGING. Am kommenden Sonntag, dem 25. August geht’s für 75 Jungen und Mädchen aus ganz Österreich am Institute of Science and Technology (ISTA) in Maria Gugging los. Die 10- bis 14-Jährigen können bei der „Vifzack Academy“ fünf Tage lang Schulter an Schulter...

In Sachen Künstlicher Intelligenz spielt Größe eine wichtige Rolle. Das ISTA erweitert seine Rechenkapazitäten mit einer Investition von 3,6 Millionen Euro.  | Foto: ISTA
2

Hochleistungsrechner
ISTA investiert 3,6 Millionen Euro in KI-Forschung

Das Institute of Science and Technology Austria (ISTA) möchte sich an der Spitze der europäischen Forschung von Künstlicher Intelligenz (KI) positionieren. Dafür erweitert das Institut seine Recheninfrastruktur und investiert 3,6 Millionen Euro in Grafikprozessoren.  MARIA GUGGING. Das ISTA investiert in einen hochmodernen Rechencluster von mehr als 100 NVIDIA H100 Tensor Core Grafikprozessoren, um seine Recheninfrastruktur für Machine Learning in der akademischen Forschung zu erweitern. Damit...

Der Zellbiologen Jiří Friml ist seit 2012 am ISTA aktiv und gewann nun den wichtigsten Wissenschaftsprpeis des Landes.  | Foto: FWF/Luiza Puiu
3

ISTA
Forscher gewinnt wichtigsten Wissenschaftspreis des Landes

Das Institute of Science and Technology Austria (ISTA) kann sich über den Gewinn von Österreichs höchstdotierte Wissenschaftspreise freuen. Der Zellbiologe Jiří Friml forscht bereits seit 2012 am ISTA. KLOSTERNEUBURG. Jiří Friml vom ISTA ist Österreichs neuer FWF-Wittgenstein-Preisträger. Er leitet die Forschungsgruppe „Pflanzliche Entwicklungs- und Zellbiologie“ am Institute of Science and Technology Austria (ISTA). Der Biochemiker, Zellbiologe und Genetiker studierte in Brünn, Köln und...

Foto: VISTA
3

24. Mai 2024
Lange Nacht der Forschung in Klosterneuburg

Am 24. Mai können Sie Forschung in Niederösterreich hautnah erleben! In ganz Niederösterreich stellen in acht Regionen Firmen, Universitäten, Fachhochschulen und Forschungsinstitute spannenden Forschungsthemen vor. Die Experten laden Sie in Ihr Arbeitsumfeld ein und freuen sich auf Ihre Fragen. Am Abend erwartet Sie ein reichhaltiges Programm mit Vorträgen, Labor-Führungen und ausgewählten Kinderstationen. MARIA GUGGING/NÖ. Das Institute of Science and Technology Austria (ISTA) und...

Bürgermeister Christoph Kaufmann, ISTA-Präsident Martin Hetzer, Landeshauptfrau Johanna Mikl-Leitner und Bundesminister Magnus Brunner
5

Klosterneuburg
Gemeinnützigkeitspaket stärkt den Forschungsstandort NÖ

Landeshauptfrau Johanna Mikl-Leitner, Finanzminister Magnus Brunner und ISTA-Präsident Martin Hetzer zum Nutzen des Gemeinnützigkeitspakets für das ISTA. MARIA GUGGING/NÖ. Mit dem im Vorjahr im Nationalrat beschlossenen „Gemeinnützigkeitspaket“ wird die langfristige Finanzierung von Forschungstätigkeiten gestärkt. Am „Institute of Science and Technology Austria“ (ISTA) in Klosterneuburg sprachen Landeshauptfrau Johanna Mikl-Leitner, Bundesminister Magnus Brunner und ISTA-Präsident Martin Hetzer...

Forschung & Elite
Millionenspende für das ISTA

Widmungsprofessur für Energiewissenschaften am Leuchtturmprojekt der heimischen Forschungslandschaft etabliert MARIA GUGGING. Die Verbund AB wird das  Institute of Science and Technology Austria (ISTA) mit einer Spende in Höhe von fünf Millionen Euro unterstützen: das gaben VERBUND-CEO Michael Strugl und ISTA-Präsident Thomas Henzinger bekannt. In Anerkennung dieser Spende wird dauerhaft eine Widmungsprofessur mit dem Titel „VERBUND Professor of Energy Science“ eingerichtet. Erste Trägerin...

Professor Nick Barton. Nicholas Barton leitet seit mehr als zehn Jahren eine Forschungsgruppe am Institute of Science and Technology Austria (ISTA).  | Foto: Nadine Poncioni / ISTA
2

Forschung
Wie sich Blumen vor schlechten Genen schützen

Seit nun mehr als zehn Jahren untersucht eine Forschungsgruppe des Institute of Science and Technology Austria (ISTA) in Klosterneuburg bereits die Verwandtschaftsverhältnisse von roten und gelben Blumen im spanischen Katalonien. Diese Löwenmäulchen, die vor allem im westlichen Mittelmeerraum wachsen, haben ein ausgeklügeltes System entwickelt, um zu verhindern, dass schlechte Gene aufeinandertreffen, wenn sie von verwandten Pflanzen bestäubt werden. MARIA GUGGING. Nick Barton sitzt im Schatten...

Neuer Millionencoup für ISTA

Forschungsinstitut ISTA verkauft Logo als NFT MARIA GUGGING. Erneut lukriert das Institute of Science and Technology Austria (ISTA) Millionenbeträge für die Wissenschaft. Das altgediente Logo „IST Austria“ wurde jetzt als Non-Fungible Token (NFT), erfolgreich verkauft. NFTs sind eindeutige digitale Repräsentationen von digitalen oder physischen Objekten auf der Blockchain. Der eingenommene Geldbetrag finanziert die Digitalisierung der naturwissenschaftlichen Grundlagenforschung und markiert...

Gaia Novarino erhielt ein ERC-Stipendium für ihre Autismusforschung.  | Foto: Peter Rigaud / ISTA
3

Prestigeträchtige Stipendien für ISTA-Forscher

Drei Förderungen in einer Woche. Die Neurowissenschafterin Gaia Novarino, der Informatiker Christopher Wojtan und der Zellbiologe Carl-Philipp Heisenberg vom Institute of Science and Technology Austria (ISTA) überzeugten die Stipendienjurys mit kreativen und neuen Ansätzen für wissenschaftliche Fragen. MARIA GUGGING. Finanzhilfen, sogenannte Grants, sind ein wichtiger Indikator, um die Qualität und Bedeutsamkeit von Forschung zu messen. Jetzt freuen sich drei ISTA-Professor:Innen über...

Vortrag
ISTA holt Nobelpreisträger Erwin Neher nach Klosterneuburg

Das Institute of Science and Technology Austria (ISTA) in Klosterneuburg holt im Zuge seiner ISTA-Lectures regelmäßig berühmte und erfolgreiche Wissenschafter nach Österreich. Dieses Mal wird Nobelpreisträger Erwin Neher über seine Forschung zu den Synapsen von Nervenzellen erzählen. MARIA GUGGING. Einer der grundlegenden Prozesse des Lebens ist, dass geladene Atome, sogenannte Ionen, die Oberflächenschicht der Zellen, aus denen Organismen bestehen, durchringen können. Das ist wichtig für die...

IST Austria
Wie viele Frösche man küssen sollte

Liebe kann irrational, gar unlogisch sein, aber sie zu finden muss es nicht sein. Egal, ob Sie Wissenschafter sind oder nicht, die Mathematik rettet Ihre romantische Mission: Folgen Sie diesem einfachen Algorithmus, ersparen Sie sich nicht nur endlose und unangenehme Rendezvous, sondern haben auch die größte Chance, Miss Perfect oder Ihren Traumprinzen zu finden. MARIA GUGGING. Zum Valentinstag ist das Mysterium Liebe allgegenwärtig. Warum also nicht die mühsame Suche nach der „Wahren Liebe“...

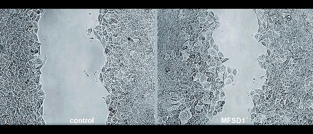
Unterdrückung der Metastasierung. Hohe Konzentrationen des Proteins MFSD1 in Krebszellen erschweren es diesen, in andere Teile des Körpers zu wandern.  | Foto:  ISTA/Marko Roblek
3

IST Austria
Protein hemmt Ausbreitung von Krebs

Wenn sich Tumoren ausbreiten, wandern Krebszellen über die Blut- oder Lymphgefäße in andere Teile des Körpers. Wissenschafter des Institute of Science and Technology Austria (ISTA) haben nun ein neues Protein entdeckt, das Krebszellen daran hindert. MARIA GUGGING. Das von einer Forschenden am ISTA identifizierte Proteien sorgt dafür, dass die Krebszellen fester an ihrer Umgebung haften. Die in der Fachzeitschrift Frontiers in Oncology veröffentlichten Ergebnisse könnten Medizinern in Zukunft...

Die Forscherinnen und Forscher des IST Austria sammelten und verwerteten 150 kg Plastik für den guten Zweck (vlnr): Philipp Radler, Peter Machek (Vereinsobmann von "Helfen statt wegwerfen"), Nathalie Gruber, Geralt Giel, Nikola Čanigová und Ingrid de Vries.  | Foto: IST Austria
2

Grünere Labore
Forscher retten die Welt - mit 150 Kilo Plastikmüll

Ein Mikrobiologie-Labor erzeugt im Jahr so viel Plastikmüll wie 13 Haushalte. Denn Pipetten, Spritzen oder Petrischalen werden nach einmaliger Verwendung entsorgt und oft nicht recycelt. Eine Gruppe von Wissenschafter:innen des Institute of Science and Technology (IST) Austria sagt nun aber dem Müll den Kampf an und sammelte 150 kg Plastik, das jetzt wiederverwertet wird. MARIA GUGGING. Es sieht wohl für Außenstehende etwas komisch aus, was im Müllraum eines Forschungsinstituts in...

Forschungsdurchbruch
IST Austria: Graphens Supraleitung Entziffern

Physiker veröffentlichen theoretischen Ansatz zur Erklärung der kürzlich entdeckten Supraleitung in dreilagigem Graphen MARIA GUGGING. Seit Entdeckung der Supraleitung in dreischichtigem Graphen im September rätselt die Physikgemeinde über ihren Ursprung. Jetzt, nach nur drei Monaten, können Physiker des IST Austria gemeinsam mit Kollegen des Weizmann-Institut für Wissenschaften die Ergebnisse erfolgreich erklären, indem sie auf eine Theorie der unkonventionellen Supraleitung zurückgreifen. Die...

Nächster Meilenstein für den Ausbau des IST Austria

NÖ Landtag beschließt die 3. Ausbaustufe des Institute of Science and Technology Austria KLOSTERNEUBURG / ST. PÖLTEN. Einstimmigkeit herrschte im NÖ Landtag beim Beschluss zur 15a Vereinbarung zwischen Bund und Land NÖ über die Finanzierung der 3. Ausbaustufe des IST Austria. „Es ist ein großer Tag für den Wissenschaftsstandort Niederösterreich, denn nicht oft beschließen wir ein solch großes Investment für Wissenschaft und Forschung!“ hielt Abgeordneter Christoph Kaufmann in seiner...

Anna Kicheva forscht an Hühnereiern, um die Entwicklung von Säugetieren besser zu verstehen.
 | Foto: Peter Rigaud/IST Austria
3

Wie eine einzige Zelle zum Körper heranwächst

Von kleinen Molekülen, die Anweisungen geben MARIA GUGGING. Jeder weiß, wie Babys gemacht werden. Weit weniger bekannt ist, wie eine befruchtete Eizelle eigentlich zu einem Menschen heranwächst. Wie entsteht zum Beispiel aus einer Zelle eine Hand oder gar ein ganzes Nervensystem? Entwicklungsbiologinnen wie Professorin Anna Kicheva vom Institute of Science and Technology (IST) Austria wollen die dahinterliegenden Mechanismen verstehen. Ihre Erkenntnisse könnten auch der Krebsforschung helfen....

Forschung
2,46 Milliarden Euro für das IST Austria

Langfristige Finanzierung bis 2036 ermöglicht nachhaltigen Aufstieg in die weltweite Spitzengruppe der Forschungsinstitutionen MARIA GUGGING. Mit heute sind die Finanzierung und das Wachstum des IST Austria bis 2036 gesichert: Minister Blümel und Minister Faßmann, sowie die niederösterreichische Landeshauptfrau Johanna Mikl-Leitner gaben die Einigung auf eine neue 15a-Vereinbarung bekannt und betonten dabei die herausragenden internationalen Forschungsleistungen des IST Austria. "Wir werden den...

Hubertus Schmid-Schmidsfelden (Bundesministerium Bildung, Wissenschaft und Forschung), IST-Managing Director Georg Schneider, Landeshauptfrau Johanna Mikl-Leitner, IST-Präsident Thomas Henzinger und Bürgermeister Stefan Schmuckenschlager nahmen die Eröffnung des Laborgebäude 5 vor. | Foto: NLK Pfeiffer
4

Laborgebäude 5 am IST Austria eröffnet

LH Mikl-Leitner: „Wissenschaft und Forschung sind der Schlüssel, um die Zukunft erfolgreich meistern zu können“ MARIA GUGGING. Drei Jahre nach der Grundsteinlegung wurde das Laborgebäude 5 am Institute of Science and Technology Austria (IST Austria) im Beisein von Landeshauptfrau Johanna Mikl-Leitner am vergangenen Sonntag eröffnet. Ab sofort sind dort zwölf Forschungsgruppen, die IST Austria Graduate School, eine Kernspinresonanz-Facility sowie die Bibliothek untergebracht. „Wir unterstützen...

Arabidopsis thaliana wächst im In-vivo-Raum.  | Foto: Robert Herbst/IST Austria
5

Gärtnern für die Wissenschaft

Eine verborgene Welt voller Mutanten am IST Austria MARIA GUGGING. In einem der Kellerräume des Institute of Science and Technology (IST) Austria wachsen Mutanten heran. Doch statt Monstern sind es kleine Pflanzen, die als lebende Subjekte für die Wissenschaft dienen. Dies ist das Reich von Dorota Jaworska, der Technikerin der Plant Facility des Instituts, die sich um Tausende kleine Experimente kümmert. Manche Felder der Biologie erfordern das Studium lebender Organismen. Am IST Austria nutzen...

Forschung
Drei IST Austria Professoren treten der Academia Europaea bei

Mario de Bono, Vadim Kaloshin, Robert Seiringer werden Mitglieder der paneuropäischen wissenschaftlichen Gesellschaft MARIA GUGGING. Die Academia Europaea ist eine paneuropäische, nichtstaatliche wissenschaftliche Gesellschaft. Ihre Mitglieder sind Forscher_innen aus verschiedensten wissenschaftlichen Disziplinen, die Bildung und Forschung weltweit fördern wollen. Jetzt wurden die IST Austria Professoren Mario de Bono, Vadim Kaloshin und Robert Seiringer in diese prestigeträchtige Gesellschaft...

IST Austria
Neue Technologien visualisieren das Innenleben von Zellen

Die Chan Zuckerberg Initiative fördert IST Austria Professoren Johann Danzl und Florian Schur MARIA GUGGING. Bilder von Molekülen, Zellen und Geweben sind von zentraler Bedeutung für die biologische und biomedizinische Grundlagenforschung. Sie ermöglichen es Wissenschaftler_innen, biologische Mechanismen in Gesundheit und Krankheit besser zu verstehen. Die Chan Zuckerberg Initiative (CZI) hat sich zum Ziel gesetzt, die Biologie und Medizin voranzubringen, indem sie Forscher_innen bei der...

Du möchtest selbst beitragen?

Melde dich jetzt kostenlos an, um selbst mit eigenen Inhalten beizutragen.